Résumé: L’Hamartome kystique retro rectale ou tailgut cyst est une tumeur bénigne d’origine congénitale, à potentiel récidivant et à malignité enclose, le cas de notre patiente de 59 ans était une tumeur de 14 cm, qui dépassait les limites de la région rétro rectale et évoluait en bas jusqu’à la région ischio anale droite et en retro coccygien, son excision avait emprunté3 voies d’abord, et était «supposée» complète, confirmée par le CT Scan post opératoire. Une récidive était survenue sous forme d’adénocarcinome 7 ans après, probablement à partir de quelques cellules tumorales, cette récidive venait affirmer l’insuffisance de la seule excision de la tumeur. Dans notre étude les bases de données de Pub Med, Google Scholar, Scopus; étaient consultées, la recherche était: tailgut-cyst, tumeurs retro rectale, et malignité; nous avions trouvés 399 cas dont certains étaient solitaires et d’autres publiés à travers des séries. La tumeur ne serait donc pas si rare qu’on pensait l’être. - Nous présentons une analyse essayant de dévoiler les récidives et chez l’adulte leurs transformations malignes et nous proposons les préventions et les possibles traitements adjuvants en per et post opératoire. Mots clés : tailgut-cyst, retro-rectal, hamartome, malignité, récidive.
La page de titre
Adénocarcinome retro-rectal 7 ans post excision d’un tailgut-cyst, rapport d’un cas et propositions pour prévenir la récidive.
Retro-rectal adenocarcinoma 7 years following excision of a tailgut-cyst, case report and proposals to prevent recurrence.
Auteur : Dr Gabriel SABEH
Chef de service de chirurgie générale de l’hôpital de La Paix, Rotonde de La Paix-Tripoli – Liban
B.P 1433
E- mail : [email protected]
Résumé: L’Hamartome kystique retro rectale ou tailgut cyst est une tumeur bénigne d’origine congénitale, à potentiel récidivant et à malignité enclose, le cas de notre patiente de 59 ans était une tumeur de 14 cm, qui dépassait les limites de la région rétro rectale et évoluait en bas jusqu’à la région ischio anale droite et en retro coccygien, son excision avait emprunté3 voies d’abord, et était «supposée» complète, confirmée par le CT Scan post opératoire. Une récidive était survenue sous forme d’adénocarcinome 7 ans après, probablement à partir de quelques cellules tumorales, cette récidive venait affirmer l’insuffisance de la seule excision de la tumeur. Dans notre étude les bases de données de Pub Med, Google Scholar, Scopus; étaient consultées, la recherche était: tailgut-cyst, tumeurs retro rectale, et malignité; nous avions trouvés 399 cas dont certains étaient solitaires et d’autres publiés à travers des séries. La tumeur ne serait donc pas si rare qu’on pensait l’être.
- Nous présentons une analyse essayant de dévoiler les récidives et chez l’adulte leurs transformations malignes et nous proposons les préventions et les possibles traitements adjuvants en per et post opératoire.
Mots clés : tailgut-cyst, retro-rectal, hamartome, malignité, récidive.
Points essentiels et pratiques
· Tumeur benigne, à potentiel récidivant et à malignité enclose.
· Pauci symptomatique.
· Complémentarité: Scanner et IRM pour le diagnostic et la guidance de la stratégie chirurgicale.
· La biopsie scano guidée devrait être limitée, en cas de doute.
· L’excision chirurgicale la plus complète y compris par voie mixte ne pourra pas toujours éviter la récidive.
· Nous proposons :
1. Une chimio intra cavitaire post excision, en per opératoire.
2. Une radiothérapie de balayage en post- opératoire
3. Une surveillance rapprochée et à long terme
Introduction
L’Hamartome kystique retro-rectal ou tailgut-cyst (TGC) est une tumeur bénigne rare à partir des reliquats embryonnaires (1 – 2) décrite à tout âge mais chez l’adulte plus que le quart des cas se transformait en cancers (3). La tumeur de notre patiente dépassait les frontières de la région retro-rectale et dont l’excision était complète. Pour amoindrir le risque de la récidive, faut-il aller d’emblée et en dehors de toute suspicion de transformation maligne, vers l’amputation antérieure étendue du rectum? (3) ou alors après l’excision la plus complète du kyste, Y a- t’il des traitements adjuvants et préventifs pour éviter la récidive potentielle et la possible transformation maligne?
OBSERVATION
Femme de 59 ans sans antécédents souffrait en Février 2013 d’algie péri-anale avec tenesme et dyschésie, l’examen retrouvait : - Une masse de l’espace Ischio anal droit et au toucher rectal (TR) une masse remontant haut derrière le rectum.
Le Scanner puis l’IRM (fig1) avaient montrer une masse retro rectale de 14 cm sur son grand axe d’allure kystique lobulée multiloculaire: déviant: rectum, vessie, utérus, vagin et allant jusqu’à l’aire Ischio anale à droite et en retro coccygien et qui serait un Hamartome ; La recto coloscopie montrait une compression extrinsèque du versant droit du rectum.
La laparotomie sous ombilicale le 20/3/2013 avait permis d’enlever la tuméfaction kystique à paroi fine et friable et à contenu pâteux, brun jaunâtre mais cette tumeur se prolongeait et s’insinuait tout autour des organes et en dessous du plancher pelvien qu’on était obligé de compléter durant le même temps opératoire par une voie ischio-anale droite pour une ablation « supposée » complète de la tumeur ; les suites simples, sortie au 5ème jour et l’histo pathologie confirmait le diagnostic d’ Hamartome sans malignité (fig2).
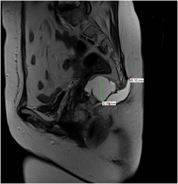
L’IRM de contrôle effectué le 13/5/2013, retrouvait un reste de la tumeur en retro ano rectale, ainsi qu’en rétro coccygien faisant respectivement 3,3cm et 4,5cm (fig3).
Le 18/9/2013, chirurgie par voie postérieure trans coccygienne permettant l’ablation complète du reste de la tumeur avec le coccyx.
Le scanner pelvien de contrôle effectué le 6/11/2013, ne retrouvait plus de trace de la tumeur.
Cette patiente a ensuite émigré. En juillet 2020. Elle avait présenté un abcès de la marge de l’anus, et était prise en charge à Sydney où il avait fallu deux drainages, itératifs à 3 semaines d’intervalle ; le CT Scan et l’IRM alors effectué retrouvaient une lésion de 3,5 cm rétro-ano rectale droite dont la biopsie par l’orifice de drainage plaidait en faveur d’un adénocarcinome mucineux.
L’ano-recto-sigmoïdoscopie n’avait pas montré de lésions du tube digestif.
Le Pet Scan n’avait pas détecté de métastases. Une radiothérapie du rectum de 50. GY était effectuée entre 8/10et 16/11/2020.
En Décembre 2020 nouvelle récidive de l’abcès ishio-rectal droit et nouveau drainage par un drain tubulaire.
La cytologie du liquide n’a pas montré de cellules cancéreuses, la répétition du Pet Scan retrouvait des réponses métaboliques partielles sans évidence hyper métabolique au niveau des ganglions abdominaux ou pelviens. La patiente avait décidé de retourner vers son premier chirurgien.
Arrivée le 23 janvier 2021, avec toujours le drain para ano-rectal à droite mis un mois auparavant et qu’on a retiré, le lavage par l’orifice externe cutanée du drainage faisait sortir le liquide en intra rectal preuve d’une fistule.
L’examen sous anesthésie générale retrouvait au TR, la tumeur retro ano-rectale estimée à 3.5 cm ; à 8 h en position de la taille ; mobile sur son pole supérieure qui remonte à 7 cm de la marge anale, et qu’on arrivait à ramener vers l’anus mais était fixe au niveau de son pole inférieur.
L’anu recto coloscopie n’avait pas montré de lésion intra luminale, Le relavage de la cavité d’abcédation laissait apparaitre la fistule à 10 cm au dessus de l’anus sur le rayon de 8 h en position de la taille mais la muqueuse rectale était souple, et cette fistule semblait être une plaie secondaire au drainage.
L’IRM du 27/1/2021 et le CT. Scan du 5/2/2021 (fig 4) décrivaient la tumeur de 3,5 cm sur son grand axe dont le pole inférieur était calcifié avec adhérence au bas rectum sans lésions abdominales ou autres. Le dosage des marqueurs tumoraux était dans les normes: CEA : 1.74 ng/ml et CA 19-9 16 UI/ml
Nous avions proposé une résection radicale par amputation abdomino-périnéale du rectum et de l’anus. Mais refusée par la patiente il restait : La cure par voie basse, difficile à cause des récentes infections itératives et de la radiothérapie (dernière séance datée de 15 semaines) mais pourrait garder la fonction sphinctérienne
Le 13/2/2021 la patiente était opérée après préparation colo rectale: par voie postérieure : avec reprise de l’incision inter ano-sacré longitudinale para médiane droite. Les adhérences avaient obligé à un travail méticuleux de dissection et s’aidant d’un doigt intra rectal pour rapprocher la tumeur du champ opératoire ; ce qui nous avaient permis d’exciser l’ensemble de la tumeur (fig5) le pole supérieur était de densité mixte, le pole inférieur était calcifié, avec adhérence au rectum sur une superficie de 1,5 cm2etqu’on avait reséqué à 2cm tout autour et suture immédiate par des fils à résorption lente 3/0.Nous avions effectué en complément : a- Une Exicision de l’ex trajet de biopsie en para anale droit. b- Un drainage retro ano rectale par penrose, et un autre sous cutané au dessus de l’éleveur de l’anus. c- Une sphinctérotomie interne au rayon de 9 h, dans cette position de Depage, soit à l’opposé du site tumoral, geste que nous avions jugé nécessaire permettant une facilité de défécation et aidant à une guérison de sa fistule rectale. d- un débridement du trajet de l’abcédation qui était laissé ouvert pour des lavages biquotidiens au serum physiologique permettant une cicatrisation dirigée. La suite était des plus simples. Sortie au 4ème jour. Post-op puis suivi 3 semaines en externe jusqu’à la confirmation de la guérison de sa fistule rectale et la complète cicatrisation de la plaie d’abcédation. L’histo pathologie et L’immuno-histo chimie (fig 6) montraient un adénocarcinome mucineux avec métaplasie osseuse et foyers de calcifications et une composante correspondant à un adénocarcinome Lieberkuhnien modérément différencié, la collerette rectale était saine preuve d’une adhérence inflammatoire. L’étude oncologique pour KRAS et NARS n’avait pas permis de détecter une mutation génétique, l’IRM de contrôle le 11/3/2021 ne retrouvait plus de tumeur et la patiente était adressée pour les soins de l’oncologue qui lui a prescrit le Capecitabine. Le pet scan du 10/8/2021 n’a plus détecté d’activité métabolique. La patiente etait revue en consultation, le 21/4/2022 :examen clinique , CEA, CA 19-9 et Scan abdo-pelvien etaient dans les normes.
Discussion : Nous analysons l’essentiel des connaissances actuelles sur le TGC, qui vont permettre à travers leur compréhension de proposer une conduite à tenir pour amoindrir le risque de récidive.
L’origine de TGC proviendrait soit:
De l’intestin postérieur lorsqu’une involution se produisait vers la 7ème - 8ème semaine de gestation (1) ou des restes du canal neuro-entérique (2), une 3ème théorie récente est en train d’émerger (4) relatant l’existence vraisemblable d’une relation de Type L entre le tube digestif et l’intestin postérieur par le biais du tubercule génital, qui déforme le cloaque avec sa croissance externe marquée, faisant en sorte que tout reliquat embryonnaire vient se situer derrière le rectum et en avant du sacrum et qu’il est étroitement lié à la musculature de l’anus et si souvent incrusté dans le méso-rectum. Toutes ces théories pourraient expliquer le site, la diversité histologique des kystes, leurs transformations et guider leur traitement.
- Le site de TGC est l’espace virtuel retro-rectal, limité en haut par la réflexion péritonéale, latéralement par les uretères et les vaisseaux iliaques, en bas par le fascia recto sacré, le kyste que nous décrivons avait dépassé les limites pour aller au niveau de l’espace ischio-anal droit et derrière le coccyx. Hjermestad et Helwig (5) en 1987 avaient rapporté une série de 53 cas et citait une des premières références celle de Middeldorpf en 1885; Liang et al.en 2019 (6) étudiant les transformations malignes des TGC avaient sélectionné 75 cas Nicoll et al. en 2019 (3) qui avaient colligé à travers les publications 196 cas ouvrant la voie à une étude statistique analytique fiable, après 2019 Aubert (7) avait analysée une grande série multicentrique française étudiant 270 cas de tumeurs retro rectales (TRR) opérés entre 2000 et 2019 dont 110 cas de TGC soit 44.35% des tumeurs bénignes retro rectales et 40,75% de toutes TRR confondues ; Lin et al.14 cas (8) , Sakr et al. 24 cas (9). Nos autres recherches retrouvaient 57 nouveaux cas de TGC publiés ce qui remonte à 399 cas, le TGC ne serait donc pas si rare qu’on pensait l’être.
Chez les adultes (3) 80% des patients étaient des femmes, avec un âge de prédilection était entre la 4ème et la 6ème décade avec un pic vers 50 ans et plus que le quart parmi elles développait un cancer, alors que 20% des patients étaient des hommes avec un âge de prédilection entre la 5ème et la 8ème décade et un pic avoisinant les 70 ans et que presque la moitié développait un cancer.
Les hormones œstrogènes et la ghréline (10) étaient incriminées dans le développement de la transition maligne. Chez les nouveaux – nés, nourrissons et enfants (11) le TGC était relativement très peu décrit, et pas de transformation maligne de retrouvée ; bien que les origines du kyste existaient déjà. Est-ce l’absence des hormones sexuelles pourrait expliquer ce fait ?
Le TGC quand il est symptomatique a tendance à être associé à une transformation maligne (12). Les symptômes du TGC Bénin sont très variés et bien souvent dus à l’effet de masse par rapport aux organes de voisinage, ils ne sont donc pas spécifiques:
- L’imagerie médicale: si l’échographie est un bon examen rapide d’orientation surtout quant elle est pratiquée par voie intra-rectale(13). Mais les échos internes peuvent survenir ce qui rend difficile la détermination retro rectale du kyste. La complémentarité du CT Scan et de l’IRM (14) permettrait de donner une description précise du TGC.
Le Scanner permet une détection facile des calcifications et par sa précision densitométrique aide à distinguer le TGC en transformation maligne. l’IRM reste l’examen le plus sensible pour le
diagnostic avec une supériorité par rapport au scanner et pour Woodfield et al (15) cette sensibilité diagnostic atteint les 100% permettant de planifier la stratégie opératoire. La biopsie Scano-guidée généralement avec une aiguille à biopsie de 14G protégée par un mandrin ce qui permet de ne pas contaminer le trajet (16). Ces biopsies ne seraient pas sans risque d’infection intra kystique ou de propagation tumorale sur le trajet de ponction .La ponction préopératoire devrait être limitée en cas de TGC suspect de malignité mais pourrait avoir de l’intérêt, si le malade est inopérable pour permettre un traitement adjuvant ou palliatif.
Les marqueurs tumoraux sont utiles pour détecter la transformation maligne avec le CEA et CA19-9 et aussi Ki 67 et P 53(17).
- Sa découverte devrait inciter à une excision chirurgicale (5,18,19) pour juguler ses complications, dont la transformation maligne, les abcès et fistules, et les signes de compressions d’organes allant jusqu’à la dystocie obstétricale (5).
- Toute chirurgie devrait être précédée par une préparation colique et rectale.
- Nombreuses sont les voies d’abord ; a- les antérieures : Laparotomie, laparoscopie, robotique (7,18) indiquées pour les TGC au dessus de la 3ème sacrée (S3) et aux TGC dont l’imagerie laisse supposer des difficultés opératoires (15,19,20,21). b- Les voies postérieures nombreuses : avec
b1- malade en décubitus ventral, position de Depage , avec en tète de liste la voie trans-sacrée de Kraské (22) ou l’une de ses variantes (23) qui donne un jour excellent sur l’ensemble de l’espace rétro rectale et serait une voie de choix pour beaucoup (5,19,21).La voie transcoccygienne avec ou sans coccygectomie permettant un abord de la partie moyenne et inférieure de l’espace retro- rectal, où le chirurgien pourrait s’aider d’un doigt intra rectal pour descendre le pole supérieur de la tumeur, c’est elle qu’on a pratiquée, son jour est très satisfaisant, sans aucun délabrement et sans séquelles ultérieures. Voie postéro latérale para sacro coccygienne, - Voie trans ano sphinctérienne de York Masson, - ou aussi b2- malade en position gynécologique: - Voies : trans anale, trans rectale, inter sphinctérienne, trans vaginale, endoscopie trans anale. Critiquées pour leurs accès à travers des parois septiques qui risque de générer des infections et des greffes de cellules tumorales sur leur trajet ; ses voies postérieures permettraient l’ablation du TGC en dessous de S3 sans ouvrir le péritoine - la voie mixte antéropostérieure qui permet de mieux exciser toutes les structures impliquées comme dans notre cas; sans laisser de résidu tumoral.
L’énucléation complète du kyste bénin est le procédé habituel mais sa paroi est fragile et risque de s’ouvrir laissant sortir son contenu muscineux qu’il va falloir nettoyer méticuleusement pour ne pas risquer la récidive. Quant au TGC suspecté de malignité il faut l’exciser au large des structures adhérentes jusqu’à l’excision complète de l’organe envahi au besoin et si possible aidé par un examen extemporané pour différencier l’adhérence inflammatoire de celle qui est néoplasique.
Une ponction évacuatrice scano-guidée pourrait être faite, surtout si le kyste est infecté, comme premier temps ou même un choix thérapeutique palliatif pour les larges kystes inopérables étant donné des Co-morbidités du patient. – après excision du TGC l’étude histo-pathologique doit être méticuleuse et complète pour ne pas ignorer un cancer dans un foyer ; le TGC contient une variété d’épithélium glandulaire, squameux, cuboïde, transitionnel (24) ce qui explique la variété de cancers retrouvés qui étaient à majorité des adénocarcinomes suivis par les tumeurs neuroendocrines (3) et le reste était départagé entre le carcinome endométroïde , le carcinome épidermoïde; le sarcome et carcinome transitionnels, gangliocytic paragangliome et des cas non précisés(3, 24).
L’intervalle entre l’excision du TGC bénin et la découverte de la récidive allait de 4 mois à 13 ans (8). Et le pourcentage de la récidive était de 3% pour Mathis (19), 5% pour Woodfield (15), 6% pour Aubert (7), 10% pour Bosca (25),11% pour Hjermestad (5), 11% pour Messick (20), 15% pour Jao (21).
Cette différence est due non seulement à la tumeur et à la précision chirurgicale mais aussi au délai de suivi et au nombre des patients opérés qui plus ils étaient importants plus la précision était grande.
- L’aspect multiloculaire de la lésion sur les données de l’imagerie serait un facteur prédictif de récidive(26) en fait quand le TGC est d’une taille importante sa paroi lointaine est comme «soufflée» par son contenu et devient friable au point qu’une simple manipulation per opératoire
Serait capable d’abandonner des cellules tumorales d’origine embryonnaire et même avant leur ancrage leur temps de dédoublement tumoral (TDT) est de 27 jours(27) ; leur transformation maligne passent par un nombre d’évènements indépendants non obligatoirement tous mutagènes, l’adénocarcinome étant la transformation la plus fréquente et a un TDT supérieur à 100 jours (27). C’est le cas de l’adénocarcinome de notre patiente qui était de 3,5cm d’où la régression mathématique nous ramène 7 ans plutôt vers une taille de départ infra microniennes soit quelques cellules tumorales totipotentes que d’autres auteurs (19,28,29,30) avaient supposé aussi leurs possibilités.
La chirurgie aussi parfaite soit-elle ne pourra pas toujours éviter la récidive du TGC bénin similaire à l’original où une transformation maligne comme notre patiente.
Nicoll et al (3) partant d’études embryologiques récentes (4) où le TGC aurait son mésentère associé et indissociable du méso rectum ; proposaient une chirurgie radicale emportant le TGC avec une résection antérieure étendue du rectum. Une telle proposition en dehors d’une
transformation maligne est à notre avis extrême privant d’emblée le patient de sa fonction sphinctérienne. En face d’un TGC bénin il faut cependant trouver des solutions valables pour éviter la récidive et partant la transformation maligne, nous pensons qu’il est possible de proposer:
a- Un geste chirurgical le plus complet quitte à le faire chaque fois qu’il est nécessaire par voies combinées. b- d’avoir une rigueur comme dans toute chirurgie tumorale ; c- La coccygectomie permet, en plus d’une meilleure vue opératoire, de supprimer les cellules tumorales qui pourraient se nicher là dedans (19,28,29,30) l’absence du coccyx était très supportée par notre patiente et ne représentait pas une source de plaintes ou de gène.
d- Les traitements adjuvants : En cas de transformations malignes la radiothérapie était un bon traitement avec une survie à 5 ans (31) ce qui a incité d’autres auteurs (32) à reconsidérer les traitements adjuvants : radiothérapie, et chimiothérapie, en plus d’une surveillance, bien
qu’il n’y a pas de consensus pour des normes thérapeutiques ; certes l’histopathologie post opératoire dicterait d’autres traitements selon les cas.
Pour le TGC dont la bénignité était supposée en préopératoire :
Ne peut-on pas agir d’emblée sur les quelques cellules tumorales qui auraient pu résister ? avec une chimiothérapie ciblée qui peut être utilisé en fin d’opération via une chimiothérapie intra cavitaire ou même une chimio hyperthermie intra cavitaire (33) similaire à celle intra péritonéale qui pourrait être faite, à ciel ouvert, cette chimiothérapie permet de mieux cibler les cellules tumorales doit-être utilisé en contribution avec le cancérologue, Et puisque certaines cellules tumorales, peuvent cependant rester dormantes et ne se divisent pas et ne peuvent donc pas être atteintes pat la chimiothérapie per opératoire il est normal de proposer aussi en postopératoire une radiothérapie de balayage dont le protocole est donné par le radiothérapeute au mieux guidé par quelques clips de repérage laissés par le chirurgien ce qui pourrait stériliser les possibles cellules tumorales restantes.
Aussi bien pour le TGC bénin ou transformé nous proposons: a-un IRM
et /ou un scanner le premier trimestre post-opératoire ; pour juger de la qualité de l’excision avec reprise chirurgicale au besoin, en effet les récidives à court délai seraient plutôt des excisions incomplètes et devraient être rapidement complétées comme notre cas.
b– un IRM et/ou un Scanner + marqueurs tumoraux tous les 6 mois la première année puis tous les ans durant 5 ans.
c- Un Pet Scan après 6 mois, qu’on peut répéter dans le temps à la moindre suspicion.
Le délai arbitraire de 5 ans pourrait-être prolongé jusqu’à 7 ans et plus au besoin.
Nos propositions manquent de preuves en l’absence d’un essai contrôlé, randomnisé, mais en attendant méritent l’essai pour barrer la route à la récidive et à la possible transformation maligne.
Conclusion : Le diagnostic le plus précis possible permet de choisir la stratégie opératoire et l’excision la plus complète de la tumeur, nous proposons de faire : a- une chimiothérapie intra cavitaire post excision en per opératoire, b- une radiothérapie de complément en post-opératoire, c- un suivi rapproché et à long terme ; ses différents moyens devraient amoindrir le risque de récidive et améliorer le pronostic de cette tumeur
- Publication approuvée par la patiente et par le comité d’éthique de l’hôpital.
- Aucun conflit d’intérêt.
Références
1- Jackman RJ, Clark PL III, Smith N. Retrorectal tumors. JAMA 1951;145:956-962.
2- AndeaAA,Klimstra DS : Adenocarcinoma arising in a tailgut cyst with ptominentmeningothelial proliferation and thyroid tissue: Case report and review of the literature. Virchows Arch, 2005;446:316-21.
3- Nicoll k, Bartrop C, Walsh S, Foster R, Duncan G, et al (2019) Malignant Transformation of Tailgut Cysts is Significantly Higher than Previously Reported: Systematic Review of Cases in the Literature. Colorectal Dis 21(8):869-878.
4- Nicoll K. Recent Advancements in the Morphologic Description of Cloacal Development Have Implications for Oncologic Resection of Tailgut Cysts. AdvResGastroenteroHepatol, 2020 ;15(1) : 555902. DOI : 10.19080/ARGH.2020.15.555902.
5- Hjermestad BM, HELWIG EB, Tailgut cyst and carcinoma. Military Medicine 1985;150:218-220.
6- Liang F, Li J, Yu K, Zhang K, Liu T, Li J. Tailgut Cysts With Malignant Transformation: Features, diagnosis, and Treatment. Med SciMonit, 2020;26: c919803
7- Aubert M. Prise en charge chirurgicale des tumeurs rétrorectales. Expérience Multicentrique Française. Sciences du Vivant [q-bio].2020. dumas-02978203
8- Lin YZ, Liang WY, Lin HH, Lin CC, Jiang JK, ChiehHuang S. Management of tailgut cysts in a single institute in Taiwan. Formosan Journal of Surgery 2019;52:11-16
9- Sakr A, Kim HS, Han YD, Cho MS, Hur H Min BS, Lee KY, Kim NK. Single-center Experience of 24 Cases of Tailgut Cyst. Annals of Coloproctology 2019;35(5):268-274.
10- La Rosa S, Boni I, Finzi G et al: Ghrelin-producing well-differentiated neuroendocrine tumor (carcinoid) of tailgut cyst, Morphological, Immunohistochemical, ultrastructural, and RT-PCR study of a case and review of the literature. Endocr Pathol,2010;21:190-98.
11- Garcia-Palacios M, Mendez R, Rodriguez-Barca P et al. Giant PresacralTailgut Cyst Mimicking Rectal Duplication in a Girl: Report of a Pediatric Case. Eur J PediatrSurg Rep 2013;1: 51-53.
12- McCaroll RH, Moore U: Transanal minimally invasive surgery for resection of retrorectal cyst. J Surg Case Rep, 2018; 2018:rjy021
13- Scullion DA, Zwirewich CV, McGregor G. Retrorectal cystic hamartoma: diagnosis using endorectal ultrasound. ClinRadiol. 1999 May;54(5):338-9.
14- Yang B-L, Gu Y-F, Shao W-J, et al (2010) Retro rectal tumors in adults: magnetic resonance imaging findings. World J Gastroenterol 16: 5822-5829
15- Woodfield JC, Chalmers AG, Philips N, Sagar PM (2008) Algorithms for the surgical management of retro rectal tumors. Br J Surg 95: 214-221
16- Bonvalot S, Vanel D. Tumeurs rétrorectales de l’adulte : démarche diagnostique et prise charge thérapeutique. Le Courier de colo-proctologie (IV) - n°2- avril – mai – juin 2003.
17- Moreira AL, Scholes JV, Boppana S, Melamed J: p53 Mutation in adenocarcinoma arising in retrorectal cyst hamartoma (tailgut cyst): Report of 2 cases – an immunohistochemistry/
immunoperoxidasestudy. Arch Pathol Lab Med, 2001; 125: 1361-64
18 - Duclos J., Maggiori L., Zappa M., Ferron M., Panis Y. Résection laparoscopique des tumeurs rétrorectales : une étude de faisabilité chez 12 patients consécutifs. Surg Endosc.2014 28(4) : 1223-9.
19- Mathis K.L., Dozois E.J., Grewal M.S., Metzger P., Larson P.D.W., Devine R.M. Malignant risk and surgical outcomes of presacraltailgut cysts. Br.J. Surg. 2010;97(4): 575-579.
20- Messick CA, Hull T, Rosselli G, Kiran RP. Lesions originating within the Retrorectal space: a diverse group requiring individualized evaluation and surgery. J Gastrointest Surg. 2013;17(12):2143-52.
21- Jao SW, Beart RW, Spencer RJ, et al (1985) Retrorectal tumors. Mayo Clinic experience,1960-1979. Dis Colon Rectum 28 :644-652
22- Kraske P (1885) Zurextirpation hochsitzenderMastdarm –krebse , Verhandl. Deutch. Gellesch. Chir 14:464-474
23- O’Brien P.H. Kraske’s posterior approach to the rectum. Surg. Gynecol. Obstet. 1976;142(3):412-414.
24– Jang SH, Jang KS, Song YS, Min KW, Han HX, Lee KG, et al Unusual prerectallocation of a tailgut cyst: A case report. World J Gastroenterol 2006;12:5081-83.
25- Boscà A, Pous S, Artès MJ, et al (2011) Tumors of the retrorectal space: management and outcome of a heterogeneous group of diseases. Colorectal Dis 14:1418-1423
26– Carpelan-Holmström M, Koskenvuo L, Haapamäki C, et al (2020) Clinical management of 52 consecutive retro-rectal tumours treated at a tertiary referral centre. Colorectal Dis. Epub ahead of print
27- Klein C.A. Cancer progression and the invisible phase of metastatic colonization. Nat Rev Cancer 20, 681-694(2020).
28- IzantR.J.,Jr., Filston H.C. Sacrococcygealteratomas : analysis of forty-three cases. Am.J. Surg. 1975;130:617-621.
29- Miles R.M., Stewart G.S., Jr. Sacrococcygealteratomasin adults. Ann. Surg. 1974;179(5):676-683.
30- Wolpert A, Beer-Gabel M, Lifschitz O, Zbar AP. The management of presacral masses in the adult. Tech Coloproctol 2002; 6:43-9
31- Levert LM, Van Rooyen W, Van Den Bergen HA (1996) Cysts of the tailgut. Eur J Surg 162: 149-152.
32- Maruyama A, Murabayashi K, Hayashi M, Nakano H et al Adenocarcinoma Arising in a Tailgut Cyst : Report os a case. Surg Today Jpn J Surg (1998) 28 : 1319-1322
33- Sugarbaker P.H. (2007) Laboratory and clinical basis for hyperthermia as a component of intracavitary chemotherapy. International Journal of Hyperthermia, 23:5, 431-442.

Figure1)IRM = Tumeur de 14 cm allant jusqu'a la région ischio anale et en retro-coccygien

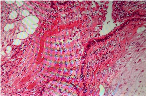
Fig. 2) Hamartome: Cavité kystique disposée dans un tissu fibro-adipeux.
La cavité kystique est bordée par un épithélium de type mucosécrétant.

Figure3)IRM: Persistence tumorale en retro ano rectale ainsi qu'en rétro coccygien

Figure4)Tumeur faisant 3,5cm retro rectale

Figure 5) Pièce opératoire de l'adénocarcinome excisé au large

Figure 6) Adénocarcinome mucineux: plages de mucus hébergeant des structures glandulaires tumorales.