GREFFES SÉQUENTIELLES DE CELLULES CUTANÉES. PREMIERS RÉSULTATS D’UN NOUVEAU PROCÉDÉ
SEQUENTIALS GRAFTS OF CUTANEOUS CELLS (S.G.C.C).
FIRST RESULTS OF A NEW PROCEDURE.
Dr. Gabriel Sabeh
Service de Brulologie. Hopital Al Salam – Bahsas - Lebanon

Moscona A, Moscona H. The dissociation and aggregation of cells from organ rudiments of the early chick Embryo.J Anat. 1952; 86 (3): 287-301.
-Walsh K-A. Trypsinogens and trypsins of various species.
Meth.Enzymol. 1970; 19: 41-63.
-Massolini G, Calleri E. Immobilized trypsin systems coupled on-line to separation methods: recent development and analytical applications j.sep.SCI.2005;28[1]:7-21.
Rheinwald J-G, Green H. Serial cultivation of strains of human epidermal keratinocytes: the formation of keratinizing colonies from single cells.cell. 1975; 6: 331-343.
Those who seek should not stop seeking until they find. When they find, they will be disturbed.
When they are disturbed, they will marvel, and will reign over all.
(in: Gospel of Thomas)
- KERATINOCYTE ++++
- MELANOCYTE + 1cm²=1.5M- 2M
- MERKEL +
- LANGERHANS +
- FIBROBLASTE +
- STEM CELL ++
- OTHER ….
Taylor G, Lehrer MS, Jensen P-J, Sun T-T, Lavker R.M. involvement of follicular stem cells in forming not only the follicle but also the epidermis. cell.(2000) : 102 (4);451-461.
The sequential grafts of skin cell process
Sample of a solute after trypsinisation
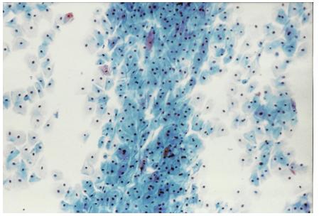
Cytology of a sequential graft of skin cell process - view of a thin graft
We observe keratinocytes in different stage of their evolution.
ORIGINALITY OF THE S.G.C.C
- Autologus.
- All Cells in the Thin Graft.
- Vivo Culture under the Laws of Homeostasis.
- Repetition at will
Chronic wound of the knee, around 5 months
D3 after sequential grafts of skin cell process, D6 after sequential grafts of skin epidermalization in process cell process, recovery
3rd DEGREE BURNS
18 month-old infant, arrive D6 after his second depth and third degree burn
D7 after 2 sequential grafts of skin cell process,
D13 after the burn.
Recovering in process of the second-degree burn, fleshy consistency for the third-degree burn.
THE LIMITS OF
S.G.C.C
Knowledge
is the only Wealth Which tyrants
can strip you
2nd DEGREE BURNS
D12 after burn, D9 after 3 sequential grafts
of skin cell process; Persistence of third
degree plots in healing process
3 years-old child, burn depth at second degree, D3
D14 after burn, D9 after 3 sequential grafts of skin cell process
Oil burn, second and third degree.
At the time of the burn
D3 after sequential graft of skin cell process, D7 after burn D6 after 2 sequential grafts of skin cell process, D10 after burn
Indications of sequential grafts of skin cell process
S.G.C.C
Benefits:(A cross-sectional study of 80 burned deep 2nd degree)
1) Aesthetic and functional results. (Gain of 2 to 3 points v.s.s)
2) Availability.
3) Successive repetition without invasion.
4) Absence of risk. (Products used for trypsinization are greatly reduced)
5) Fewer infections. (Average of 13%)
6) Shortening the healing time. (Average of 10 days)
7) Pecuniary gain.
8) Lack of ethical problem.
S.G.C.C
CONTRAINDICATIONS :
1) No consent of the care recipient or his family.
2) infections.
3) Oozing sores.
4) Bleeding wounds.
5) Granulomas : - fleshy.
- exuberant.